Ортопедия →Безметалловая керамика
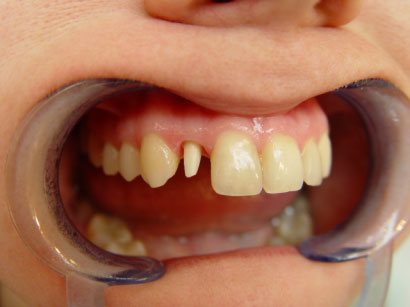
Безметалловая керамика - новейшее достижение в стоматологии, позволяет изготавливать легкие, надежные и эстетичные протезы (коронки). Внешне такая коронка, изготовленная в зуботехнической лаборатории с учетом индивидуальных особенностей естественных зубов пациента, даже для специалиста неотличима от живого зуба. Безметалловая керамика абсолютно безвредна для организма. Керамические коронки изготавливаются строго в соответствии с анатомической формой и цветом зубов пациента. Керамические коронки и мостовидные протезы могут изготавливаться из керамики методом прессованного литья (IPS Empress Ivoclar Vivadent) и методом наслоения фарфора. ![]() На период изготовления постоянных конструкций пациенту могут поставить временную коронку (временный протез), который скроет дефект, и пациент не будет испытывать затруднений в общении.
статья «Безметалловая керамика» добавлена 2008-11-15 года
|
|
|||||||||||||||
тел.: +7 (812) 983-66-66
Стоматологический центр Dental House |
Все материалы этого сайта являются объектами Авторского права
и охраняются Законодательством РФ Дизайн сайта - lexa.spb.ru
|
||